Health Vista Diagnostics

Free Home Sample Collection | Full Body Health Packages Available | 10% Discount on All Tests for Senior Citizens | Free Pick and Drop for Senior Citizen Within 2km.

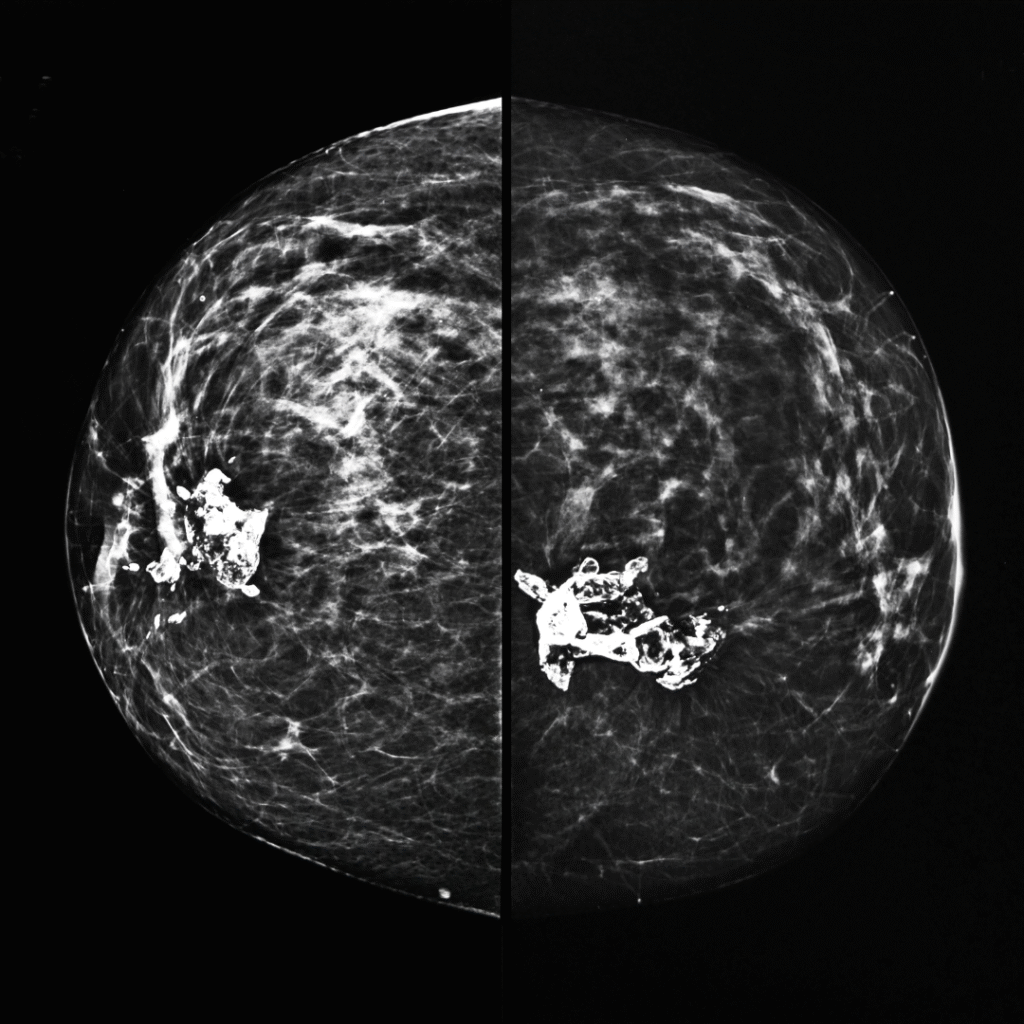
What is Mammography?

Mammography is a specialized breast imaging test that uses low-dose X-rays to detect early signs of breast cancer.
Digital mammography captures images electronically, allowing radiologists to zoom, adjust contrast, and evaluate breast tissue more accurately—especially in women with dense breasts. It is currently considered the gold standard for breast cancer screening worldwide.

Why Is Mammography Done?

Preparation for an X-ray depends on the type of X-ray you’re getting. Your provider may ask you to:

  • For women without symptoms.
  • Helps detect breast cancer at an early, treatable stage—even before a lump is felt.
  • Significantly reduces breast cancer–related deaths through early detection.
  • Recommended when a woman has symptoms such as breast pain, a palpable lump, nipple discharge, or abnormal ultrasound/mammogram findings.

  • Provides detailed images for precise evaluation.

Preparation Before the Test

  • Avoid deodorants, powders, lotions, or perfumes under the arms or on the breast area on the day of examination, as they may interfere with the image quality.
  • Wear a two-piece outfit for convenience, as you will need to remove your top.
  • If you have had previous mammograms, carry them along for comparison.
  • Inform the radiologist if you are pregnant, breastfeeding, or have breast implants.
  • The best time to schedule the test is one week after your menstrual period, when breasts are less tender.

What to Expect During the Test

  • You will be guided by a trained female radiographer/technologist.
  • Each breast will be gently compressed between two plates for a few seconds. Compression is necessary to:
  • Spread out the breast tissue
  • Reduce radiation dose
  • Obtain sharper, clearer images
  • You may feel momentary discomfort, but the procedure is quick, lasting about 10–15 minutes.
  • Multiple views (like CC and MLO) are taken for complete evaluation.

After the Test

  • You can resume normal activities immediately.
  • Your images will be reviewed by a specialized radiologist, and a detailed report will be provided.
  • If any additional views or ultrasound is needed, the radiologist may call you for further evaluation—this is common and does not always indicate a serious issue.

You may feel temporary pressure during compression, but it lasts only a few seconds. Most women find it tolerable.

Yes. It uses very low radiation, well within safety limits, and is considered safe even for annual screening.

Most guidelines recommend starting annual screening at age 40 for average-risk women. Women with family history or high-risk factors may need earlier screening.

Usually 10–15 minutes.

No test is 100% accurate, but mammography detects 80–90% of breast cancers, especially when done regularly.

Screening refers to performing tests in healthy individuals before any symptoms appear.
Screening mammography looks for early, small abnormalities that cannot be felt during self-examination or clinical examination. Early detection means easier treatment, better outcomes, and less aggressive therapies.

  • Breast cancer often develops silently without symptoms.
  • Annual mammography can detect cancers up to 2 years before a lump becomes palpable.
  • Regular yearly screening provides a baseline for comparison, improving accuracy.
  • Reduction in Mortality Rates
  • Studies worldwide show that annual mammography reduces the risk of dying from breast cancer by 30–40% in women aged 40 and above.
    Early-stage cancers detected through screening are often:
  • Smaller
  • Less likely to spread
  • Treatable with breast-conserving surgery
  • Associated with better survival
  • Routine screening is one of the strongest tools available to save lives.
Home Sample Collection